En
Centro
de Radiología Maxilofacial
y Diagnóstico Dental
Queremos verte
sonreír
Te ayudamos a tener diagnósticos dentales precisos
En Centro de Radiología Maxilofacial y Diagnóstico Dental tenemos más de 30 años de experiencia trabajando con equipo de alta tecnología para que nuestros pacientes cuenten con una salud bucal impecable, la cual inicia con la detección del problema, un diagnóstico vanguardista y tratamiento adecuado con la tecnología más avanzada.
Tenemos personal altamente calificado en el área de
radiología dental, los cuales brindan
diagnósticos precisos para que tengas un tratamiento adecuado para tu problema
dental o maxilofacial. La atención es muy importante para nosotros, por eso la calidez humana con la que trabajamos nos distingue de otros centros de
radiología.
Llama, será un gusto atenderte.
Contamos con los equipos e instrumentos más modernos y actualizados para ofrecer nuestros
diagnósticos dentales. Realizamos
tomografía
dental en 3D, radiografías panorámicas, estudios para ortodoncia, estudios paranasales y articulación temporomandibular.
Contamos con el mejor equipo de especialistas en Radiología Dental
Somos el único centro en Cuernavaca, Morelos avalado por la UNAM
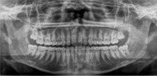
- Radiografía panorámica
- Rayos x periapicales
- Rayos x cárpales
- Radiología digital 3D
- Tomografía dental 3D
- Tomografías dentales
- Radiografía panorámica
- Senos paranasales
- Fotos clínicas
- Rayos x cárpales
- Radiología digital 3D
INTRAORALES
EXTRAORALES
ESTUDIOS 2D SIMPLES
OTROS:
TOMOGRAFÍAS CONE BEAM DENTAL
+ SERVICIOS
Conoce la identidad corporativa de Centro de Radiología Maxilofacial y Diagnóstico Dental
En Centro de Radiología Maxilofacial y Diagnóstico Dental tenemos más de 30 años de experiencia trabajando con equipo de alta tecnología para que nuestros pacientes cuenten con una salud bucal impecable, la cual inicia con la detección del problema, un diagnóstico vanguardista y tratamiento adecuado con la tecnología más avanzada.
Tenemos personal altamente calificado en el área de radiología dental, los cuales brindan
diagnósticos precisos para que tengas un tratamiento adecuado para tu problema dental o maxilofacial. La atención es muy importante para nosotros, por eso la calidez humana con la que trabajamos nos distingue de otros centros de radiología.
Contamos con los equipos e instrumentos más modernos y actualizados para ofrecer nuestros diagnósticos dentales. Realizamos tomografía dental en 3D, radiografías panorámicas, estudios para ortodoncia, estudios paranasales y articulación temporomandibular.
Misión
Proveer estudios de imagenología digital y diagnóstico dental de alta calidad, en el menor tiempo posible, con el apoyo de nuestro capital humano capacitado y tecnología avanzada, con el objetivo de satisfacer las necesidades de nuestros clientes en el área odontológica.
Visión
Ser líder en el estado de Morelos en imagenología digital y de diagnóstico dental, ofreciendo en sus servicios calidad, tecnología y calidez.
Valores
- Honestidad
- Orientación al cliente
- Respeto
- Confianza
- Responsabilidad
- Puntualidad
- Calidad
- Transparencia
Obtén un tratamiento adecuado con ayuda de la radiología dental
¡Te esperamos!
Conócenos
Marzo 2026
23
24
25
26
27
28
1
2
3
4
5
6
7
8
9
10
11
12
13
14
15
16
17
18
19
20
21
22
23
24
25
26
27
28
29
30
31
1
2
3
4
5
Mándanos un mensaje
Gracias por contactarnos.
Nos pondremos en contacto con usted tan pronto como sea posible.
Ups, hubo un error al enviar tu mensaje.
Por favor, inténtelo de nuevo más tarde.



























